일본의 최신 CT 와 MRI 로 코로나를 검사.

42

    • 1名無し2020/04/04(Sat) 05:31:05ID:MyMDU2Njg(1/1)NG報告

      日本には十万人当たり世界最多のTCとMRIがあり、新型肺炎感染の確認するPCR方よりはるかに正確に確認するできるのです。そして感染が疑われる場合、PCR方を併せ行っています。
      PCR法の精度は、50〜70%ですが、TCとMRIの精度は、約91%とのこと。
      ----------------
      라고 하네요.
      CT 로 DNA 를 검사...와 이건 외계인에게서 전수받은 기술인가요.

      기사는
      https://headlines.yahoo.co.jp/cm/main?d=20200330-00000019-cnippou-kr
      여기 댓글의 3번째 추천수에서 놀라운 주장을 보았고,
      이 댓글 현재 추천수 183 반대 8
      즉 96% 의 일본인은 CT 와 MRI 로 코로나를 판별할 수 있다고 믿고 있습니다.
      코로나 RNA를 역전사한 DNA 를 눈으로 볼 수 있다고 하네요.
      카이카이 분들은 어떻게 생각하십니까?
      코로나 DNA 를 품질좋은 사진으로 판별할 수 있다? 없다?

    • 2名無し2020/04/04(Sat) 07:24:57ID:k5ODY3Njg(1/1)NG報告

      また呑気なスレッドが現れました(笑)

    • 3捨韓2020/04/04(Sat) 07:25:38ID:kxMjQzNDQ(1/1)NG報告

      >>1
      ほんと朝鮮人てバカだね
      誰も確定診断とは言っていない
      何らかの症状があって肺炎の兆候があればPCR検査するってことだよ
      多分w

    • 4俺おっさん2020/04/04(Sat) 07:26:40ID:k3MTQ2MTg(1/1)NG報告

      >>1
      96%〜のコメント探せなかった

    • 5名無し2020/04/04(Sat) 07:27:48ID:gyNTcwNzY(1/1)NG報告

      >>1
      韓国人はコロナの検査がしたい。
      日本人は致死性の肺炎を診断したい。

      目的が違うのに比較してどうするんだよ。
      日本はコロナの封鎖なんて考えていない。
      理解できる?

    • 6詠み人知らず2020/04/04(Sat) 07:28:56ID:M1MDMzNDg(1/1)NG報告

      >>1
      TCってトレーニングセンター?

    • 7名無し2020/04/04(Sat) 07:37:23ID:U0NDMwMzI(1/1)NG報告

      医者に聞けよ😤😤😤

    • 8名無し2020/04/04(Sat) 07:40:44ID:kxNDk5MzY(1/1)NG報告

      カイカイで話す話題ではないね…
      専門家や医学生じゃないとコメントのしようがないw

    • 9名無し2020/04/04(Sat) 07:43:13ID:IwNDQ5Ng=(1/1)NG報告

      >>1
      名前を月刊ムー太郎にしろ

    • 10名無し2020/04/04(Sat) 08:08:42ID:Y4MTY5NDQ(1/1)NG報告

      >>1

      ここは大喜利スレッドです。
      マジレスは禁止です。

    • 11名無し2020/04/04(Sat) 08:16:21ID:kwNTM1NzY(1/2)NG報告

      ここからはTC大喜利になります。

      Tートンスル味の
      Cークッキー

    • 12名無し2020/04/04(Sat) 08:18:18ID:kwNTM1NzY(2/2)NG報告

      Tートンスル味の
      Cーチキン

    • 13独り言2020/04/04(Sat) 08:20:36ID:QwMTgxMDQ(1/1)NG報告

      >>1
      ああ、コレは多分なぁ
      まず問診で症状を聞いて、
      肺炎の疑いがあるようなら、
      CTやMRIで肺の写真をとって、
      肺に影があったら、肺に炎症があるということになる。
      肺炎か、その他の病気かを判断するために、
      PCR検査を行う。
      ということね。

    • 14名無し2020/04/04(Sat) 08:29:50ID:g2MDAyMDA(1/1)NG報告

      NO JAPANだからCT買えないな。

    • 15名無し2020/04/04(Sat) 08:44:44ID:U4MTQ2ODA(1/1)NG報告

      >>1
      CTとPCRで判別できると言うのではなく
      CTを併用して見つけ出すって事だよ


      韓国からも論文が出てるはずだけど

      軽症者、無症状者の時点でも肺に異常がある場合が一定数あるんだってさ

    • 162020/04/04(Sat) 08:50:18ID:kyMzg1MjQ(1/1)NG報告

      >>1
      CTで「新型コロナ ではない」、ことを判定するんだよ。
      可能性が高いことから片付けるのが効率的な方法だ。

    • 17名無し2020/04/04(Sat) 09:09:19ID:k1MzMwMjQ(1/1)NG報告

      >>1
      日本はPCR検査を否定している訳では無い。
      医師による画像診断CT検査 + PCR で診断をしている。
      日本にはCTが韓国の約4倍以上設置されているからそれが可能だ。
      日本ぐらいしかできないだろう。

      再発が発見されるのはCT検査によって見つかる事が多い。

    • 18名無し2020/04/04(Sat) 09:12:51ID:I3ODUzNjg(1/1)NG報告

      MRIやCTと併用してPCRを行うのが日本では一般的だろう。
      しかし、韓国の様にMRIやCTの普及率が低い国(人口比あたりの普及台数で韓国は日本の半分以下)ではPCRのみに頼らざるをえないのだと思う。

    • 19名無し2020/04/04(Sat) 09:19:56ID:cyNjg5Ng=(1/1)NG報告

      kaikai韓国人が「日本の医者は、風邪かコロナかどうやって判断してるの?ww」って質問してたが

      同一人物か?

    • 20名無し2020/04/04(Sat) 09:24:43ID:AwMzg4NDQ(1/2)NG報告

      >>18
      別に韓国もCT少ない訳じゃないぞ
      何なら世界的に見れば多い方だ
      ただ日本が頭抜けて多いってだけ

    • 21名無し2020/04/04(Sat) 09:33:19ID:c1OTcyMjg(1/2)NG報告

      医者が患者の症状を診る。

      肺炎の症状があればCT、MRIにて画像診断。(肺炎の画像は分かり安い)

      肺炎の種類をPCR検査等にて確認。(ウィルス肺炎、細菌肺炎等によって治療薬が違い悪化する事もある為)

      治療、投薬する。

      上記の流れだね。日本のCTは韓国の4倍、圧倒的世界一の普及率だから出来る事。
      だから検査の数のわりに陽性感染者が多い。

    • 22いえもん2020/04/04(Sat) 09:37:11ID:U2MTk2MzY(1/1)NG報告

      >>1

      武漢ウィルスの肺炎患者を診察してきた医師がTV番組でCT画像での診断をする理由について話をしていました

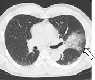
      その話によると、武漢ウィルスの肺炎患者のCT画像には、他の病原体の肺炎とは違う特徴が見られるそうです

      一般的な肺炎では、5枚ある肺のうち通常1枚、多くても2枚の“内側”に白い放射状の影が見られるが、

      武漢ウィルスの肺炎の場合には5枚全ての“外側の縁に沿って”白いもやもやした影が見られる

      とのこと

      この特徴がCT画像に見られれば、高い確率で武漢ウィルスによる肺炎だということがほぼ診断出来るので、PCR検査を確定のために行う、ということでしたよ

      それにしても、なぜDNAをCTで見るとか驚愕の話に飛躍したのかな…(・・;)

    • 23名無し2020/04/04(Sat) 09:41:25ID:c1OTcyMjg(2/2)NG報告

      日本は街のクリニックでもCT、MRIを設置しているからねww。

    • 24名無し2020/04/04(Sat) 09:49:34ID:Y4MDg2MzY(1/1)NG報告

      >>1
      ① 胸の音を聞けば肺炎の可能性があるかどうかがわかる。
      ② 肺炎の疑いがあればCTで画像を撮る。
      ③ CTの画像を見れば実質性肺炎なのか間質性肺炎なのかは一目瞭然。
      ④ 特にコロナウィルスの肺炎画像は特徴的。
      ⑤ コロナの可能性がある人にはPCR検査をする。

      日本はPCR検査の前にCTでコロナの可能性が低い人を弾いてるんだよ。
      だから検査数(PCR)が少ないというだけ。

      CTでコロナウィルスを発見するというのは間違い。
      コロナの可能性がある人を選別してるという話。

    • 25ハニー❤️とらっぷ2020/04/04(Sat) 09:51:42ID:UxOTA3MTI(1/1)NG報告

      まず、X線で肺炎確定!。その後、一般的な『肺胞』肺炎と、🐼コロナ特有の『間質性』肺炎を、判別するためにCT検査をしてるんだと思う。

    • 26名無し2020/04/04(Sat) 09:57:44ID:U4NDYyODA(1/1)NG報告

      TVで観た記憶だが、新型コロナはCTでは特徴的な像になるらしい。
      肺炎初期から両肺同時で、比較的弱い炎症が広い範囲に現れる。

      この辺の情報は医師には伝わっているから、肺炎がコロナ由来かその他の原因かは
      CTやMRIで非常に迅速に診断できるよね。

    • 27無名2020/04/04(Sat) 10:00:38ID:E1MjU1NzI(1/1)NG報告

      >>1
      要するに韓国自粛には読解力が無いと示したかったのだろ?
      大丈夫ですよw
      日本の皆さんは御存知のようですからw

    • 28名無し2020/04/04(Sat) 10:39:51ID:g1MTE1MzI(1/1)NG報告

      >>1
      あなた自身が 引用した文章に
      「感染が疑われる場合、PCR検査を併せて行っています」
      って、書いてありますが???

      それが何故
      「CTで DNA(ウイルスのDNA?そもそもコロナはRNAウイルスだけど)をスキャン」
      という考えに至るのか。

      韓国人の 読解力と思考力が、あまりにも おかしいので、毎度 びっくりするw
      ちょっと 笑ってしまったw

    • 29コンパス‐メタル2020/04/04(Sat) 10:49:50ID:A5NDEzNTI(1/2)NG報告

      >>1
      てか、立て逃げかよ

    • 30名無し2020/04/04(Sat) 10:53:18ID:MzMjA1NjA(1/1)NG報告

      情報を更新せずにいつまでも勝ち誇っているのが韓国人

    • 31飛ばない豚はただのオレ22020/04/04(Sat) 10:59:45ID:QyOTQ3Njg(1/1)NG報告

      このサイトで散々言われてると思うが、、

      韓国の最終的な目的は何??

      コロナウィルスによる、直接的+関連する(自殺など)の死者数を抑えるとかじゃないのか?
      もしかして、死者復活とか出来るのか?

      終息もしていないのに、正解があるのか??

    • 32名無し2020/04/04(Sat) 12:51:48ID:cxMjYxNjU(1/1)NG報告

      >>1
      CTでコロナ判定してると思ってたんか?
      思い込みでスレまで立てて恥ずかし過ぎるな

    • 33絶対!無理!2020/04/04(Sat) 12:55:16ID:UzMzE2NTI(1/1)NG報告

      >>32
      だって 朝鮮人だもん
      (笑)

    • 34名無し2020/04/04(Sat) 13:28:19ID:kyMjE0ODA(1/1)NG報告

      >>18
      スレ主もそうだが韓国人には肺炎の判定とコロナの確定の区別がつかないようだ。
      こないだ日本はCT受けてからじゃないとPCR受けれないが、韓国はすぐにPCR受けられるんだと自慢してる韓国人がいたよ。
      肺炎かどうかを調べるにはCTの方が早くて確実と言っても全く通じなかった。

    • 35名無し2020/04/04(Sat) 13:30:52ID:AwMzg4NDQ(2/2)NG報告

      >>34
      新型コロナオールインで他の疾患等は最初から考えてないんかな

    • 36コンパス‐メタル2020/04/04(Sat) 13:32:48ID:A5NDEzNTI(2/2)NG報告

      >>34
      あー、この前日本人は肺炎を治してるって言っても通じなかった

    • 37常識疑え2020/04/04(Sat) 13:34:37ID:Y4MTI3ODQ(1/1)NG報告

      >>1
      検査キットの精度以前の問題でPCR検査と言う手法は精度が低いと言うのは常識です。
      だから医師の所見とCTが重要。

      新型コロナではなくても肺炎は日本人の死亡原因の4位ぐらいだから、その辺の経験の蓄積はあるぞ。

      まぁアメリカやイタリア、スペインなどに比べれば韓国は良くやっている方だよ。

    • 38名無し2020/04/04(Sat) 14:15:27ID:c3NzU2MjQ(1/1)NG報告

      >>1 国民の健康よりも支持率アップを優先させるトップを持ってしまうと、国民も苦労しますね。

       「二度と日本に負けない」と言った文大統領は、コロナ戦争で日本に勝たないといけないらしいです。たくさん検査をして感染者数を増やしてしまったから、死亡者数で日本を逆転するしかありません。必死に今死者数を増やさないよう細工してる最中でしょうが、総選挙までに逆転できるかどうかは、判りませんね。逆転したところで、人口当りの死亡者数にすれば、あと400人ほど増えないことには逆転できません。日本では今日までで78人がお亡くなりになりましたけど(クルーズ船客除く)、あと12日で逆転しますか?一人の命だって大切だから、日韓問わず医療現場の方々には、このまま頑張ってほしいです。

       欧州の国々と比べれば、良くやっているとは思うけど、韓国の場合は全ての比較対象が日本ですから、それでは意味がないんですよね。

       韓国メディアは、オリンピックのために、日本は隠蔽工作で数を誤魔化してきたって必死に宣伝してましたけど、裏を返せば、韓国なら必ず誤魔化すってことですもんね。まあ、今の数字も参考程度に見ておきますよ。

       それにしても、信頼性の低いPCR検査の数を誇るというのが、どうにも理解できません。北朝鮮へ飛ばす風船爆弾の数を誇るようなもんなのですかねえ。それかKPOPでデビューした売れないグループの数を誇るのと同じなのか。90%以上のグループは赤字ですもんねえ。

       実際、ソウルでの検査だって、新天地信者以外は殆ど検査されていませんけどね。
      新天地関係者を除いたら、国民全体の 0.5% も検査できていないのに、意味があるんですかねえ。

    • 39名無し2020/04/04(Sat) 18:12:45ID:gyNjkxNjQ(1/1)NG報告

      >>1
      実際に2月にコロナの疑いで隔離入院させられたので日本での検査方法を書きます。

      CTで肺の状態を確認、その画像で普通の肺炎、マイコプラズマ肺炎でないかを確認

      画像診断で医者が普段見ない肺炎の形状とのことで隔離入院
      マイコプラズマ肺炎か確認するため検査を行うも陰性
      医者が新型コロナの可能性有りと申請して痰と鼻の粘膜を採取、PCR検査を行う

      日本国内の検査でも結果は6時間程で判定可能、私の場合は陰性だった。
      隔離入院は解除、しかしPCR検査は精度は約70%の為、個室で治療は継続する、
      その後、院内感染も起こらず、ただの肺炎ということで一安心。

      >>1さんはMRIも使用と書いてますが、私の場合CTとレントゲン診断のみでMRIは不使用でした
      病院にMRI設備はあるので、医者は不要と判断したと思います
      CTとMRIの精度は、約91%とありますが、実際には医者の画像診断次第で評価は変わるようなので
      その数値を信じるかどうかと言われると疑問を感じますね。

    • 40S.W.2020/04/04(Sat) 18:25:56ID:c1OTMwNjg(1/1)NG報告

      確か韓国政府は「PCR検査の特異度(検査結果の正しさ)は100%」って嘘ついてた記事を見た記憶がある。

    • 41脱亜論2020/04/04(Sat) 18:58:12ID:I0MzY5MDA(1/1)NG報告

      >>1
      お前、CTスキャンとMRIってなんの機器か知ってる?
      こんなもんでなにするんだよ?

    • 42はる2020/04/04(Sat) 19:08:10ID:AwMzQ5NDg(1/1)NG報告

      >>1

      朝鮮人は なんでも 自分たちの 都合の良いように 解釈をするな

      だから 理解力が無い 文盲だと 世界中から 笑われているのにねwww

レス投稿

画像をタップで並べ替え / 『×』で選択解除