국내에서 혈장 치료로 코로나19 중증환자 2명이 완치에

48

    • 1名無し2020/04/08(Wed) 16:54:05ID:U3MTA5NzY(1/6)NG報告

      코로나19 중증환자 2명이 완치자의 혈장을 이용한 치료를 받고 모두 완치됐습니다.
      혈장치료가 '만능'이 될 순 없겠습니다만, 코로나 치료제나 백신 개발이 언제 될지
      알 수 없는 상태에서 당장 상태가 위중한 중환자를 치료할 수 있는 하나의 돌파구가
      될 것으로 기대되고 있습니다.

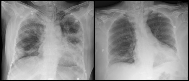
      70대 남성 김 모 씨는 확진 판정 사흘 뒤인 지난 2월 말 호흡곤란을 보일 만큼 폐렴이 악화돼
      병원으로 이송됐습니다.

      의료진은 말라리아와 에이즈 치료제 투약에도 호전되지 않던 김 씨에게 완치자의 혈장을
      12시간 간격으로 두 차례 투여했습니다. 국내 첫 혈장치료입니다.
      스테로이드 치료까지 병행한 결과 뿌옇게 보이던 김 씨의 폐가 나아졌고 이후 완치 판정을 받았습니다.

      고혈압 병력이 있던 60대 여성도 같은 치료를 받고 회복돼 지난달 말 퇴원했습니다.
      두 환자의 치료연구는 대한의학회지에 실렸습니다.

      치료제나 백신이 없는 상황에 혈장 치료가 중환자 치료의 대안이 될 수 있습니다.
      방역당국은 관련 지침을 곧 발표할 계획입니다.

    • 2名無し2020/04/08(Wed) 17:42:30ID:U3MTA5NzY(2/6)NG報告

      https://news.naver.com/main/read.nhn?mode=LSD&mid=sec&sid1=102&oid=025&aid=0002991254

      방역당국, 완치자의 혈액으로 코로나 치료한다 "혈액 보유한 병원이 우선"

    • 3名無し2020/04/08(Wed) 17:43:58ID:k3OTE3NzY(1/7)NG報告

      ワンチジャって、なんじゃ?

    • 4名無し2020/04/08(Wed) 17:44:53ID:U3MTA5NzY(3/6)NG報告

      >>3
      회복된 사람w

    • 5名無し2020/04/08(Wed) 17:45:34ID:Y2MzU3ODQ(1/2)NG報告

      >>1
      どうせ選挙前のハッタリだろ?
      としか思ってない。

    • 6名無し2020/04/08(Wed) 17:45:57ID:c3OTQ2NzI(1/1)NG報告

      犬の血液?

    • 7名無し2020/04/08(Wed) 17:49:04ID:U3MTA5NzY(4/6)NG報告

      >>6
      코로나 항체를 가진 사람의 혈액을 중증환자에게 투여해 회복되었다는 이야기w

    • 8名無し2020/04/08(Wed) 17:49:24ID:k3OTE3NzY(2/7)NG報告

      完治者の血に抗体が出来てて
      とか、そんな理屈かな?

      まあ、そうであっても、おかしくない気は
      するが(素人の個人的感想です)
      そんな簡単に解決してたら誰も
      こんなに苦労してない気もするな。

    • 9名無し2020/04/08(Wed) 17:51:06ID:k3OTE3NzY(3/7)NG報告

      >>5
      自分もそんな感想。、

    • 10コンパス‐メタル2020/04/08(Wed) 17:52:00ID:Y1NDEyODg(1/4)NG報告

      https://www.asahi.com/articles/ASN474RP6N47UHBI018.html

      他の国でもやってるが?

      新型コロナウイルスの重症患者の体内に、感染から回復した人の血液の成分を入れたところ、症状が軽くなったと中国の研究グループが発表した。「血清療法」と呼ばれる方法で、19世紀に北里柴三郎らが発見した。効果の見極めにはまだ課題があるものの、米国では大規模な臨床試験が計画されている。

    • 11名無し2020/04/08(Wed) 17:52:36ID:AxNzI2MzI(1/1)NG報告

      これはだいぶ前から中国で行われている治療だよ
      韓国では初期の大量の検査で軽症で免疫が作られている人を大量に確保できたから同じ手法を取れたのかな?

    • 12名無し2020/04/08(Wed) 17:52:39ID:k3ODc1NzY(1/4)NG報告

      確か中国が10人ぐらい試して1人だけ効果があって、
      あまり意味がないとしてた方法だね。

    • 13名無し2020/04/08(Wed) 17:53:52ID:U3MTA5NzY(5/6)NG報告

      >>12
      한국은 3명 시도에 2명 완치, 1명 경과를 기다리는 중이지만?
      성공률 꽤 높겠지

    • 14コンパス‐メタル2020/04/08(Wed) 17:55:15ID:Y1NDEyODg(2/4)NG報告

      >>13
      「19世紀に北里柴三郎らが発見した。」
      NO JAPAN しないの?

    • 15名無し2020/04/08(Wed) 17:55:37ID:k3OTE3NzY(4/7)NG報告

      >>13
      たった3回の試みで
      成功率が高いと言われましても?

    • 16名無し2020/04/08(Wed) 17:57:08ID:k3OTE3NzY(5/7)NG報告

      >>14
      そういうのはどうにでもなる。
      北里先生を韓国人認定するとかさ。

    • 17名無し2020/04/08(Wed) 17:57:08ID:E3MjYyODA(1/1)NG報告

      >>4
      完治者かな

    • 18名無し2020/04/08(Wed) 17:57:19ID:IwMDY5NTI(1/1)NG報告

      >>13
      効果がある治療法の可能性はあるが、行った回数が足りなさすぎる。


      1人のみに実行してその人間が完治した場合、成功率は100%完治する治療法になってしまう。

    • 19名無し2020/04/08(Wed) 17:57:43ID:Y2MTgyNTY(1/1)NG報告

      >>3
      Google翻訳では、スペース1個で意味が通じなくなる。

      まあ、そもそも愚民文字の構造が悪いんだけどなw

    • 20コンパス‐メタル2020/04/08(Wed) 18:01:09ID:Y1NDEyODg(3/4)NG報告

      >>16
      北里先生の韓国人認定は嫌だなー

    • 21名無し2020/04/08(Wed) 18:01:36ID:Y2MzU3ODQ(2/2)NG報告

      >>1
      じゃあ、残りはタヒんだのか?
      よかった、よかった。

    • 22名無し2020/04/08(Wed) 18:02:43ID:k3OTE3NzY(6/7)NG報告

      >>20
      日本人の嫌がることをするのが
      韓国人の本質ですからね。

      もちろん自分も嫌です。

    • 23名無し2020/04/08(Wed) 18:03:29ID:AxMjE2MA=(1/1)NG報告

      >>13

      血清療法の事でしょ?

      日本式だけど、、、平気なの?

    • 24名無し2020/04/08(Wed) 18:04:47ID:E2NjgzNjA(1/2)NG報告

      3人で効果あるとかヤバいねw

    • 25名無し2020/04/08(Wed) 18:05:37ID:Q0MDE4MjQ(1/1)NG報告

      文在寅政権になってからの此等の発表は信用出来ない(笑)歪曲、捏造、嘘八百が常習(笑)大体血液そのまま投与とか今時の医学従事者がやることなのか?(笑)抗体そのものを選別、抽出して増やすだろう普通は(笑)

    • 26名無し2020/04/08(Wed) 18:05:52ID:cwOTQ5NjA(1/1)NG報告

      >>19
      ハングルじゃなくて英語だけどコレ思い出した。

      I'm nowhere 私はどこにもいない
      I'm now here 私は今ここにいるよ

    • 27名無し2020/04/08(Wed) 18:19:46ID:M0Njk4NDg(1/3)NG報告

      3人で云々で否定するのも筋違い
      アビガンだって動き始めたのは少ない症例の段階だったよ
      まだ未知数だけど抗体を含む血漿が大量に確保出来て、効果の高い治療法の可能性もある
      人によって抗体も多少異なるだろうから効果の高い血漿もあれば、殆ど効果が無い場合もあるだろうね

    • 28名無し2020/04/08(Wed) 18:25:11ID:k3OTE3NzY(7/7)NG報告

      >>27
      可能性はゼロではない!
      …こんな感じ?

    • 29名無し2020/04/08(Wed) 18:29:35ID:U4Mjc4MTA(1/1)NG報告

      >>1
      今までワクチンや治療薬が無かったのは何だったんだろうねぇ
      流石コロナ先進国は違うなぁ

    • 30名無し2020/04/08(Wed) 18:32:45ID:M0Njk4NDg(2/3)NG報告

      >>28
      そうだよ
      アビガンやBCGだってコロナに対する効果はまだ完全には立証されていないし、初期はHIVの薬を試したりもしてる
      急を要する事案なので様々な方法を試して備えるのは(やり過ぎて疲弊しなければ)正しい
      オーストラリアがBCGを打ち始めたのも、保証は無くてもやった方がいい可能性があると判断したから
      「自分の判断では」だけど、この治療法については別の病原体に効果があるわけでコロナに効果がある可能性は十分あると思うよ
      日本におけるこの治療法は、完治した軽症患者は追えていないので、それほど効果は無いと思うけど

    • 31ヤマト2020/04/08(Wed) 18:33:20ID:E3NDk2MDg(1/1)NG報告

      用は輸血だろ❓
      まだ韓国では血を売るのか❓しかも二人って(ww
      亡くなった17歳が、むくわれないなぁ

    • 32名無し2020/04/08(Wed) 18:35:28ID:M5MjcxMzY(1/2)NG報告

      この治療って感染して治った人の血液を取ってやる治療ってことでの解釈でいいのかな?

    • 33名無し2020/04/08(Wed) 18:37:02ID:M5MjcxMzY(2/2)NG報告

      >>32

      もしそうなら絶対数が少なすぎると思うが。

    • 34名無し2020/04/08(Wed) 18:39:48ID:k3ODc1NzY(2/4)NG報告

      >>27
      それは>>14で韓国人が3人で成功率が高いと誇ってるからだろw

      前提を読もうな。

    • 35Hero2020/04/08(Wed) 18:42:02ID:kzNjg5NzY(1/1)NG報告

      >>7
      なるほど。

      しかし、これまでの常識では、A氏の体内で獲得された免疫抗体は、血漿としてB氏に輸血してもB氏の免疫抗体ができるものではない、と考えられていましたよね。

      だから、ウィルスを無力化、または弱体化したものをB氏にワクチンとして接種させて、B氏自身が抗体を作るようにしてました。

      他の薬剤も併用していたのであれば、その回復の機序や因果関係はわかりませんが、ただ、一つの可能性は開いたのかもしれませんね。

    • 36名無し2020/04/08(Wed) 18:42:53ID:U3MTA5NzY(6/6)NG報告

      https://news.naver.com/main/read.nhn?mode=LSD&mid=sec&sid1=102&oid=023&aid=0003521768

      중증환자 3명중 2명 완치, 결국 1명은 사망한 것 같다

    • 37名無し2020/04/08(Wed) 18:44:38ID:k3ODc1NzY(3/4)NG報告

      >>34
      >>14じゃないや、>>13

      まあ言いたいことは

      ①コロナに対して先に中国がやっているから韓国が考えた方法でもない。
      ②そもそも昔からある方法の一つ
      ③3人で2に完治は、完治率が高いというのはあまりにも例が少なすぎで
      笑いにしかならない。それを誇るのは失笑

    • 38コンパス‐メタル2020/04/08(Wed) 18:46:04ID:Y1NDEyODg(4/4)NG報告

      >>36
      肺がん末期患者は無理だろ
      他の国でも助けられないよ

    • 39名無し2020/04/08(Wed) 18:46:29ID:k3ODc1NzY(4/4)NG報告

      >>36
      ご冥福をお祈りいたします。

      うーん、それは医療は失敗したのか、病気が強かったのか・・・
      原因を知りたいですね。
      でもその調査をやる暇があるかどうか。

    • 40名無し2020/04/08(Wed) 18:52:29ID:E2NjgzNjA(2/2)NG報告

      >>1
      これには欠点があるよ!
      生産的ではないね。今後どのぐらいの患者を相手にその治療をするのかな?重篤患者のみ?
      薬開発とワクチン開発を進めた方が今後の為だよ。

    • 41名無し2020/04/08(Wed) 19:02:00ID:k5NjIyNzI(1/1)NG報告

      >>4

      韓国の終わりが見えてよかった。よかった。よかった。

      8兆円だっけ?韓国の財政出動。
      108兆円だっけ?日本の財政出動。

      108兆の大金がCOVID19のせいで使われるのは心底やだけど、この数字、見てわからないか?


      『国力の差』が。


      目を覚ませ。小韓国。まともに働け。小韓国。
      乞食。小韓国。

      日本の起源が韓国にあってもいいよ。その事実が韓国の力につながるか????????

    • 42名無し2020/04/08(Wed) 19:22:02ID:M0Njk4NDg(3/3)NG報告

      >>37
      これは同意
      高確率云々は全く議論にならないし、韓国が特別な事をしたわけじゃ無い
      ただ、中国と同様にパンデミック初期段階で大量の感染者が出た韓国では効果的な可能性はある

      血漿による治療法は否定しないし、今後それなりに使われるかもしれないよ

    • 43ハニー❤️とらっぷ2020/04/08(Wed) 20:26:50ID:kwODc5ODQ(1/1)NG報告

      鎖骨と胸骨の接続位置が、高いような気がする。んで、肋骨間の間隔が、なんか、開きすぎてるような気もする。あの間隔で肋骨が配列されていたら、12番目の肋骨の先端は、骨盤に突き刺さるのでは?。

    • 44名無し2020/04/09(Thu) 00:27:41ID:MxNDUwOTA(1/1)NG報告

      変な病気がうつりそう

    • 45名無し2020/04/09(Thu) 00:38:49ID:UyMDU2NzE(1/1)NG報告

      순수 말라리아 치료제
      클로로퀸의 치료는 50% 이하 정도
      국내 치료로 실패한 것이 클로로퀸

      다른 말라리아 치료제
      히드록시클로로퀸과 복합 성분 추가로
      프랑스에서 수십명 완치

      이것보다 더 좋은 션 에킨스 박사 트윗
      피라맥스가 더 획기적이다 라고 한다

    • 46名無し2020/04/09(Thu) 00:49:15ID:YwNDAyNjM(1/1)NG報告

      日本の髄膜炎を併発した重症者はアビガンで治ったらしいけど、錠剤じゃなく液体もあるのだろうか?。

    • 47名無し2020/04/09(Thu) 10:26:56ID:Y3ODgwNzY(1/1)NG報告

      血漿は効くけど、コロナを完治した人からひとりぶんぐらいしか取れないらしいから
      値段を付けたらメチャクチャ高価になると思う

      国が負担してくれないとお金持ちしか受けられない治療法

    • 48名無し2020/04/09(Thu) 11:13:23ID:g3MDEzNTI(1/1)NG報告

      実際に効果があるなら素晴らしい
      実地数を増やして効果が実証されると良いね

      実際に効果が無くても国民の不安を抑えるアナウンス効果は大きい
      これは治療法が無い疫病に対するまっとうなプロパガンダであり責めるような事ではない

レス投稿

画像をタップで並べ替え / 『×』で選択解除